ERSTTRIMESTERSCREENING
mit frühem Fehlbildungsausschluss
Schon sehr früh in der Schwangerschaft (zwischen 11+0 und 13+6 Schwangerschaftswoche) kann mittels hochauflösender Ultraschallgeräte eine detaillierte Untersuchung Ihres Kindes erfolgen.
Es hat sich in den letzten Jahren gezeigt, dass viele Ungeborene mit Chromosomenstörungen bei den Ultraschalluntersuchungen in der 11. bis zur abgeschlossenen 13. / 14. Schwangerschaftswoche bereits Auffälligkeiten und Organfehlbildungen aufweisen. Man kennt heute neben dem Alter der Mutter einige wichtige zusätzliche Faktoren, die anzeigen können, ob bei einem ungeborenen Kind eine Trisomie 21 oder eine andere Chromosomenstörung wahrscheinlich ist oder nicht.
Früher wurde diese „Risikoabschätzung“ für das Vorliegen einer Chromosomenstörung alleine auf der Basis des mütterlichen Alters durchgeführt, da bekannt ist, dass das Risiko einer Chromosomenstörung mit dem mütterlichen Alter ansteigt. Dieses Kriterium war jedoch ein recht ungenauer und damit unbrauchbarer Parameter für eine fundierte Entscheidung.


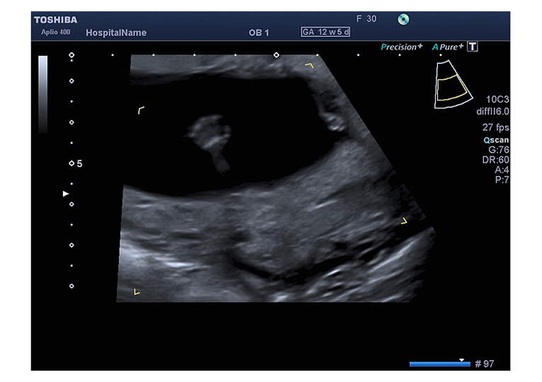
Das heute durchgeführte Ersttrimesterscreening bindet daher neben dem Alter der Mutter, die Ultraschallergebnisse und einige Laborwerte in die Risikoberechnung mit ein. Das bekannteste Ultraschallmerkmal, welches im Rahmen dieser Untersuchung erhoben wird, ist die „Nackentransparenz“.
Bei dieser Nackentransparenz handelt es sich um eine Flüssigkeitsansammlung im Nacken des Feten, welche bei jedem Kind mehr oder weniger in dieser Phase der Schwangerschaft auftritt. Je nach Grösse des Kindes sind 0,8 bis 2,5 mm „Nackentransparenz“ normal. Eine Verbreiterung dieser „Nackentransparenz“ kann ein Hinweis auf eine Chromosomenstörung, einen Herzfehler oder eine andere Erkrankung des Feten sein. Jedoch können auch gesunde Kinder eine verbreiterte Nackentransparenz aufweisen. Es sind oft nur wenige zehntel Millimeter, um welche die Nackentransparenz bei einem „auffälligen“ Kind vergrößert ist. Daher ist für die Messung ein gutes Ultraschallgerät, Erfahrung und eine spezielle Ausbildung nötig. Generell gilt jedoch: Je breiter die Nackentransparenz, je größer die Wahrscheinlichkeit für ein genetisch oder organisch erkranktes Kind.
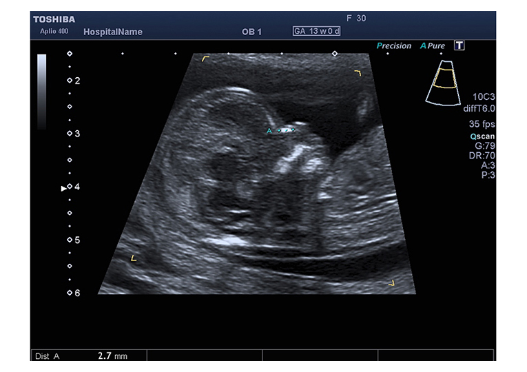
Weitere Merkmale, welche in die Risikoberechnung des Kindes einbezogen werden können, sind die Darstellung des kindlichen Nasenbeins, Besonderheiten im Bereich des kindlichen Herzens und weitere organische Auffälligkeiten. Das individuelle Risiko einer jeden Schwangeren, welches neben dem Alter der Schwangeren auch die Nackentransparenz und weitere Ultraschallmarker berücksichti gt, kann dann mittels Computer berechnet werden.

Parallel zu den Ultraschallbefunden, kann auch das mütterliche Blut auf zwei Substanzen untersucht werden, die ebenfalls in die Risikoberechnung eingehen können (PAPPA und FreeßHCG). Zusammen mit der Nackentransparenzmessung kann die Blutuntersuchung die Entdeckungsrate für die Trisomie 21 (DownSyndrom) auf über 90 % steigern und damit eine solide Entscheidungshilfe für oder gegen die Durchführung einer Fruchtwasseruntersuchung oder Mutterkuchenpunktion (Chorionzottenbiopsie) darstellen.
Bedenken Sie jedoch bitte immer, dass eine unauffällig Ultraschalluntersuchung keine Garantie für eine gesundes Kind geben kann.
Bedenken Sie ebenso, dass die Wahrscheinlichkeitsrechung nur das Risiko für die Trisomie 13, 18 und 21 erfasst.
Des weiteren sollten Sie immer beachten, dass diese Untersuchung in einem nur schmalen Zeitfenster durchgeführt werden kann. Ausserhalb dieser Zeit sind Risikoanalysen aufgrund einer gemessenen Nackenfalte nicht zulässig.
Es ist deshalb besonders wichtig, sich vor der Untersuchung ausführliche Gedanken darüber zu machen, ob Ihnen eine solche Risikoberechnung hilfreich sein könnte und welche Konsequenzen Sie aus einem „ guten“ oder „schlechten“ Ergebnis ziehen würden. Der frühe Fehlbildungsultraschall / Nackentransparenzmessung als auch die Blutuntersuchung wird von der gesetzlichen Krankenkasse leider üblicherweise nicht übernommen.